DAY 4/160

IMG_7151.JPG

Dear Baby Milline, 

Today was all about you.  Your mother and I had a check up today to see how you were doing and I must say being there with her during these visits is the most amazing thing ever.

Mommy entering into the facility to check up on you today September 1, 2017 

Mommy entering into the facility to check up on you today September 1, 2017 

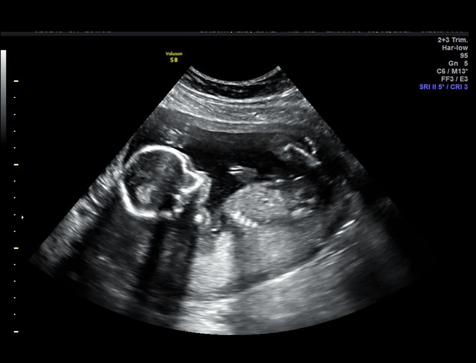
You see the first time I was introduced to you it was just a roll of film.  The second time I was able to hear your heart, see your head, and I must admit I almost shed a tear. But today, today Baby Milline I was able to see your heart, your head, your face, your hands, your feet, your legs, and see you raise your hands in the air. This is the most amazing experience ever Baby Milline and I wish every man has this experience with the mother of his child. 

You're definitely in there Baby Milline I see you 

You're definitely in there Baby Milline I see you 

However, we saw everything but your gender as the woman doing the scan cut the monitor off so we could not see if you are a boy or a girl. Unfortunately for your mother and I we have to wait 45 days before we find out.  Your gender results are currently in this envelope sealed for you aunt, and aunt only to know if you are a boy or girl. Can't trust your mother with the results so I have them safely hidden until we give them to your aunt.

Mommy thinks you are a boy now, based off what she believes to be only 3 letters keyed after your scan took place. 

Mommy thinks you are a boy now, based off what she believes to be only 3 letters keyed after your scan took place. 

The doctor says that you are doing fine and that you are a healthy baby based on the results seen today and that's all your parents pray for is that you are a healthy baby. 

We finished the evening feeding you Chipotle, which apparently you like as currently mommy has no issues with the meal. Unlike this morning when you completely rejected the grits she had for breakfast.

September 1 2017  (3 of 3).jpg

Baby Milline you are a joy, and from what I saw today a beautiful baby full of energy. 

Love, 

Your Father

P.S. We were informed today your predicted date of birth is now 2/2/18 which is 5 days behind your grandmother, 1 days before your older cousin, 4 days before your great aunt, and 5 days before your other older cousin. A week full of birthdays.